
Anticorps > 24911 - Purified freeze-dried antibody to human fibronectin
24911 - Purified freeze-dried antibody to human fibronectin
Fibronectin is a glycoprotein present in a soluble dimeric form in plasma, and in a dimeric or multimeric form at the cell surface and in extracellular matrix. Fibronectin is involved in cell adhesion and migration processes including embryogenesis, wound healing, blood coagulation, host defense, and metastasis. [according to RefSeq]
Immunogen : Fibronectin extracted from human plasma.
Host : Rabbit.
Polyclonal antibody purified by chromatography.
For research only.
Purified, freeze-dried antibody in 0.1 mL vials. Reconstitute with 0.1 mL distilled water and store aliquots at -20°C.
Unreconstituted
24 months at -20°C.
Reconstituted
Before use aliquot and store at -20°C (6 months). Avoid repeated freeze/thaw cycles.
Applications
IF, IHC, ELISA, SP(RIA).
Working dilutions
ELISA ≥ 1/2000 (OD = 0.5)
IF ≥ 1/40
IHC ≥ 1/500
Optimal dilutions should be determined by the end user.
- #351k
-
IgG
1.6 mg/mL
pH
7.4
ELISA
Optimal working dilution at 1/20000.
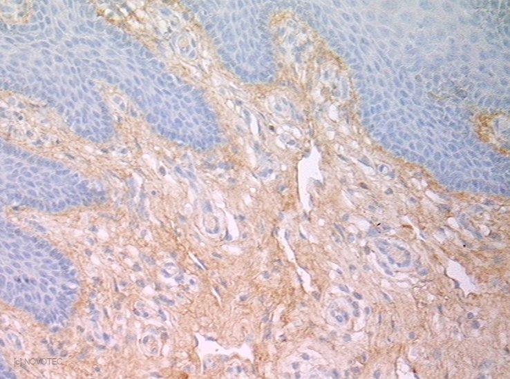
IF
Optimal working dilution at 1/500-1/1000 on the frozen human skin.
IHC
Immunoperoxidase technique with the Envision / Dako kit, 0.5% hyaluronidase pretreatment, optimal working dilution at 1/1000 on fixed paraffin-embedded human skin.
-
Presentation
Fibronectin is a glycoprotein present in a soluble dimeric form in plasma, and in a dimeric or multimeric form at the cell surface and in extracellular matrix. Fibronectin is involved in cell adhesion and migration processes including embryogenesis, wound healing, blood coagulation, host defense, and metastasis. [according to RefSeq]
Description
Immunogen : Fibronectin extracted from human plasma.
Host : Rabbit.
Polyclonal antibody purified by chromatography.
For research only.
Format
Purified, freeze-dried antibody in 0.1 mL vials. Reconstitute with 0.1 mL distilled water and store aliquots at -20°C.
Stability
Unreconstituted
24 months at -20°C.
Reconstituted
Before use aliquot and store at -20°C (6 months). Avoid repeated freeze/thaw cycles.
Use
Applications
IF, IHC, ELISA, SP(RIA).
Working dilutions
ELISA ≥ 1/2000 (OD = 0.5)
IF ≥ 1/40
IHC ≥ 1/500
Optimal dilutions should be determined by the end user.
Lots
- #351k
-
IgG :
1.6 mg/mL
pH :
7.4
ELISA
Optimal working dilution at 1/20000.
IF
Optimal working dilution at 1/500-1/1000 on the frozen human skin.
IHC
Immunoperoxidase technique with the Envision / Dako kit, 0.5% hyaluronidase pretreatment, optimal working dilution at 1/1000 on fixed paraffin-embedded human skin.
-
References
- «Comparison of the results obtained by ELISA and surface plasmon resonance for the determination of antibody affinity. J. Immunol. Methods 2010, 352, 13-22.»
Heinrich L., Tissot N., Hartmann D.J., Cohen R. - «Optimization and characterization of an Engineered human skin equivalent. Tissue Engineering 2005, 11, 723-733.»
Black A.F., Bouez C., Perrier E., Schlotmann K., Chapuis F., Damour O. - «Long term remodeling of a bilayered living human skin equivalent (Apligraf®) grafted onto nude mice: immunolocalization of human cells and characterization of extracellular matrix. Wound Rep. Reg. 2003, 11, 35-45.»
Guerret S., Govignon E., Hartmann D.J., Ronfard V. - «Spatiotemporal patterns of expression of extracellular matrix molecules in the developing and adult rat olfactory system. Neuroscience 1998, 84, 1135-1150.»
Julliard A.K., Hartmann D.J. - «Pituitary hormones modulate cell-cell interactions between thymocytes and thymic epithelial cells. J. Neuroimmunol. 1997, 76, 39-49.»
De Mello-Coelho V., Villa-Verde D.M.S., Dardenne M., Savino W. - «Extracellular matrix components of the mouse thymus microenvironment. V. Interferon- modulates thymic epithelial cell/thymocyte interactions via extracellular matrix ligand and receptors. Cell. Immunol. 1996, 170, 235-244. {{(IVm, FNh, LNm / MO-PO)}}»
Lagrota-Candido J.M., Villa-Verde D.M.S., Vanderlei F.H., Savino W. - «In vivo and in vitro expression of tenascin by human thymic microenvironmental cells. Dev. Immunol. 1995, 4, 139-147.»
Sondermann-Freitas C., O'Campo-Lyra S.P., Dalmau S.R., Savino W. - «Increased deposition of extracellular matrix components in the thymus gland of MDX mouse: correlation with the muscular lesion. J. Neuroimmunology 1995, 59, 9-18.»
Quirico-Santos T., Ribeiro M.M., Savino W. - «Extracellular matrix components of the mouse thymus microenvironment. IV . Modulation of thymic nurse cells by extracellular matrix ligands and receptors. Eur. J. Immunol. 1994, 24, 659-664.»
Villa-Verde D.M.S., Machado J., Candido L., Vannier-Santos M.A., Chammas R., Brentani R.R., Savino W. - «Altered deposition of extracellular matrix components in the skeletal muscle and lymph node of the MDX dystrophic mouse. Brazilian J. Med. Biol. Res. 1994, 27, 2229-2240.»
Seixas S.I.L., Wajsenzon I.J., Savino W., Quirico-Santos T. - «Pleiotropic influence of triiodothyronine on thymus physiology. Endocrinology 1993, 133, 867-875.»
Villa-Verde D.M.S., De Mello-Coelho V., Farias De Oliveira D.A., Dardenne M., Savino W. - «Characterization of the extracellular matrix-containing giant perivascular spaces in the NOD mouse thymus. Diabetes 1993, 42, 134-140.»
Savino W., Carnaud C., Luan J.J., Bach J.F., Dardenne M. - «Immunocytochemical localization of collagen types I, III, IV, and fibronectin in the human dermis. Cell Tissue Res. 1992, 268, 505-511.»
Vitellaro-Zuccarello L., Garbelli R., Dal Pozzo Rossi V. - «Ultrastructural localization of the major components of the extracellular matrix in normal rat nerve. J. Histochem. Cytochem. 1992, 40, 859-868.»
Lorimier P., Mezin P., Labat Moleur F., Pinel N., Peyrol S., Stoebner P. - «Plasminogen activator inhibitor-1 deposition in the extracellular matrix of cultured human mesangial cells. Am. J. Path. 1992, 141, 117-128.»
Hagège J., Peraldi M.N., Rondeau E., Adida C., Delarue F., Medcalf R., Schleuning W.D., Sraer J.D. - «Cell-matrix patterns in the cutaneous lesion of chromomycosis. Path. Res. Pract. 1992, 188, 894-900.»
Esterre P., Peyrol S., Guerret S., Sainte-Marie D., Pradinaud R., Grimaud J.A. - «Odontoblast-like cytodiffentiation of human dental pulp cells in vitro in the presence of a calcium hydroxide-containing cement. Arch. oral. Biol. 1991, 36, 117-128.»
Seux D., Couble M.L., Hartmann D.J., Gauthier J.P., Magloire H. - «Studies on the thymus in non obese diabetic mouse. I. Changes in the microenvironmental compartments. Lab. Invest. 1991, 64, 405-417.»
Savino W., Boitard C., Bach J.F., Dardenne M. - «Extracellular matrix components of the mouse thymus microenvironment : Ontogenetic studies and modulation by glucocorticods hormones. J. Histochem. Cytochem. 1991, 39, 1539-1546.»
Lannes-Vieira J., Dardenne M., Savino W. - «Extracellular matrix components of the mouse thymic microenvironment. II. In vitro modulation of basement membrane proteins by interferon- : Relationship with thymic epithelial cell proliferation. Cellular Immunology 1991, 137, 329-340.»
Lannes-Vieira J., van der Meide P.H., Savino W. - «Changes in the elastic tissue of the non-sun-exposed skin of cigarette smokers. Br. J. Dermatol. 1991, 125, 43-47.»
Frances C., BoImnic S., Hartmann D.J., Dautzenberg B., Branchet M.C., Le Charpentier Y, Robert L. - «Morphological and immunocytochemical characterization of cultured rat incisor cervical epithelial cells. Archs oral Biol. 1991, 36, 737-745.»
Farges J.C., Couble M.L., Joffre A., Hartmann D.J., Magloire H. - «Connective tissue changes in rheumatic heart disease. J. Submicrosc. Cytol. Pathol. 1991, 23, 213-220.»
Dos Santos W.L., Verney R.N., De Montclos H., Veysseyre C, Carraz M., Grimaud J.A. - «Isolation and characterization of rat alveolar bone cells. Cell Mol. Biol. 1991, 37, 509-517.»
Bouvier M., Couble M.L., Hartmann D.J., Magloire H. - «Biochemical analysis of normal and osteoarthritic human cartilage. Clin. Physiol. Biochem. 1990, 8, 221-230.»
Vilamitjana J., Harmand M.F. - «Expression of fibronectin and type I collagen by human dental-pulp cells and gingiva fibroblasts grown on fibronectin substrate. Archs. Oral Biol. 1990, 35, 565-569.»
Veron M.H., Couble M.L., Caillot G., Hartmann D.J. - «Intra-alveolar fibrosis of idiopathic bronchiolitis obliterans-organizing pneumonia: Cell-matrix patterns. Am. J. Pathol. 1990, 137, 155-170.»
Peyrol S., Cordier J.F., Grimaud J.A. - «Production of fibronectin and collagen types I and III by chick embryo dermal cells cultured on extracellular matrix substrates. Int. J. Dev. Biol. 1989, 33, 267-275.»
Robert J., Hartmann D.J., Sengel P. - «Human recombinant gamma-interferon stimulates proliferation and inhibits collagen and fibronectin production by human dental pulp fibroblasts. Cell. M. Biol. 1989, 35, 97-110.»
Melin M., Hartmann D.J., Magloire H., Falcoff E., Auriault C., Grimaud J.A. - «Thymic extracellular matrix in Down's syndrome. Brazilian J. Med. Biol. Res. 1989, 22, 971-974.»
Fonseca E.C., Lannes-Vieira J., Villa-Verde D.M., Savino W. - «Immunohistochemical localization of Type IV collagen fibronectin and laminin in the juxtaglomerular apparatus of the rat kidney. Cell. Mol. Biol. 1989, 35, 469-484. »
Blanc-Brunat N., Mutin M., Peyrol S. - «Electron immunolocalization of type IV collagen, laminin and fibronectin synthesized by multilayered cells cultured from human oral epithelium. J. Periodont. Res. 1988, 23, 252-257.»
Poly H., Couble M.L., Hartmann D.J., Faure M., Magloire H. - «In vitro evaluation of the biocompatibility of a Ni-Cr alloy (Wiron 88) : an ultrastructural study. In : Biocompatibility of Co-Cr-Ni alloys. Hildebrand H.F., Champy M. Eds. Plenum Publishing Corporation, New York, 1988, 175-182.»
Exbrayat P., Couble M.L., Hartmann D., Magloire H. - «Morphology of chronic collagen resorption : a study on the late stages of schistosomal granuloma involution. Am. J. Path. 1988, 132, 389-399.»
Andrade Z.A., Grimaud J.A. - «Distribution of the major connective matrix components of the stromal reaction in breast carcinoma. Cell. Mol. Biol. 1987, 33, 453-467.»
Mahfouz S.M., Chevallier M., Grimaud J.A. - «Immunofluorescent localization of collagen types I, III and IV, fibronectin, laminin, and basement membrane proteoglycan in developing mouse skin. Roux's Arch. Dev. Biol. 1987, 196, 295-302.»
Mauger A., Emonard H., Hartmann D.J., Foidart J.M., Sengel P. - «Evaluation of the biocompatibility of a Ni-Cr-Mo dental alloy with human gingival explant culture in vitro : morphological study, immunodetection of fibronectin, and collagen production. Biomaterials 1987, 8, 385-392.»
Exbrayat P., Couble M.L., Magloire H., Hartmann D.J. - «Wound-healing of human-skin transplanted onto the nude-mouse. 2. an immunohistological and ultrastructural study of the epidermal basement-membrane zone reconstruction and connective-tissue reorganization. Dev. Biol. 1987, 121, 119-129.»
Demarchez M., Hartmann D.J., Herbage D., Ville G., Prunieras M. - «Immunohistochemical studies on the phenotype of murine and human thymic stromal cell lines. Thymus 1986, 8, 245-256.»
Savino W., Itoh T., Imhof B.A., Dardenne M. - «Type-I collagen production by human odontoblast-like cells in explants cultured on cyanoacrylate films. Cell Tissue Res. 1986, 244, 133-140.»
Magloire H., Callé A., Hartmann D.J., Joffre A., Serre B., Grimaud J.A., Schue F. - «Myofibroblastic stromal reaction in carcinoma of the breast : variations of collagenous matrix and structural glycoproteins. Virchows Arch. 1985, 408, 49-59.»
Lagacé R., Grimaud J.A., Schürch W., Seemayer T.A. - «A procedure for light and electron microscopic intracellular immunolocalization of collagen and fibronectin in rat liver. J. Histochem. Cytochem. 1985, 33, 407-414.»
Clement B., Rissel M., Peyrol S., Mazurier Y., Grimaud J.A., Guillouzo A. - «Extracellular matrix of the human thymus : immunoflorescence studies on frozen sections and cultured epithelial cells. J. Histochem. Cytochem. 1985, 33, 655-664.»
Berrih S., Savino W., Cohen S. - «Early mouse molar root development : cellular changes and distribution of fibronectin, laminin and type IV collagen. Differentiation 1985, 30, 111-122.»
Andujar M.B., Magloire H., Hartmann D.J., Ville G., Grimaud J.A. - «Cytodifferentiation of human dental pulp cells in explant cultures. In : tooth morphogenesis and differentiation. Belcourt A.B., Ruch J.V. Eds. Les Editions INSERM, Paris 1984, 125, 119-126.»
Magloire H., Hartmann D.J., Couble M.L., Joffre A., Grimaud J.A., Herbage D., Ville G. - «Fibronectin in basement membrane of Hertwig's epithelial sheath. Light and immunohistochemical localization. Histochemistry 1984, 81, 279-282.»
Andujar M.B., Magloire H., Grimaud J.A. - «Immunofluorescent localization of collagen types I, III, IV, fibronectin and laminin during morphogenesis of scales and scaleless skin in the chick embryo. Roux's Arch. Dev. Biol. 1983, 192, 205-215.»
Mauger A., Demarchez M., Herbage D., Grimaud J.A., Druguet M., Hartmann D.J. Foidart J.M., Sengel P. - «Immunofluorescent localization of collagen types I and III, and of fibronectin during feather morphogenesis in the chick embryo. Dev. Biol. 1982, 94, 93-105.»
Mauger A., Demarchez M., Herbage D., Grimaud J.A., Druguet M., Hartmann D., Sengel P. - «Répartition du collagène, de la fibronectine et de la laminine au cours de la morphogénèse de la peau et des phanères chez l'embryon de poulet. C. R. Acad. Sc. Paris 1982, 294, 475-480.»
Mauger A., Demarchez M., Georges D., Herbage D., Grimaud J.A., Druguet M., Hartmann D.J., Sengel P.