
Anticorps > 24931 - Purified freeze-dried antibody to chicken fibronectin
24931 - Purified freeze-dried antibody to chicken fibronectin
Fibronectin is a glycoprotein present in a soluble dimeric form in plasma, and in a dimeric or multimeric form at the cell surface and in extracellular matrix. Fibronectin is involved in cell adhesion and migration processes including embryogenesis, wound healing, blood coagulation, host defense, and metastasis. [according to RefSeq]
Immunogen : Fibronectin extracted from chicken plasma.
Host : Rabbit.
Polyclonal antibody purified by chromatography.
For research only.
Purified, freeze-dried antibody in 0.1 mL vials. Reconstitute with 0.1 mL distilled water and store aliquots at -20°C.
Unreconstituted
24 months at -20°C.
Reconstituted
Before use aliquot and store at -20°C (6 months). Avoid repeated freeze/thaw cycles.
Applications
IF, IHC, ELISA, SP(RIA).
Working dilutions
ELISA ≥ 1/2000 (OD = 0.5)
IF ≥ 1/40
IHC ≥ 1/500
Optimal dilutions should be determined by the end user.
- #262
-
IgG
not tested
pH
not tested
ELISA
Optimal working dilution not tested with our current protocol.
IF
With fluorescein anti-rabbit IgG conjugate, optimal working dilution at 1/80 on frozen chicken skin.
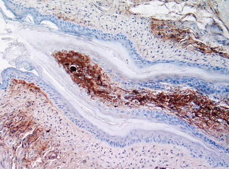
IHC
Immunoperoxidase technique with the Envision / Dako kit, 0.5% hyaluronidase pretreatment, optimal working dilution at 1/1000 on fixed paraffin-embedded human skin.
-
- #490d
-
IgG
2.06 mg/mL
pH
7.72
ELISA
Optimal working dilution at 1/8000.
IF
Optimal working dilution not tested with our current protocol.
IHC
Immunoperoxidase technique with the Envision / Dako kit, 0.5% hyaluronidase pretreatment, optimal working dilution at 1/500 on fixed paraffin-embedded chicken intestine.
-
Presentation
Fibronectin is a glycoprotein present in a soluble dimeric form in plasma, and in a dimeric or multimeric form at the cell surface and in extracellular matrix. Fibronectin is involved in cell adhesion and migration processes including embryogenesis, wound healing, blood coagulation, host defense, and metastasis. [according to RefSeq]
Description
Immunogen : Fibronectin extracted from chicken plasma.
Host : Rabbit.
Polyclonal antibody purified by chromatography.
For research only.
Format
Purified, freeze-dried antibody in 0.1 mL vials. Reconstitute with 0.1 mL distilled water and store aliquots at -20°C.
Stability
Unreconstituted
24 months at -20°C.
Reconstituted
Before use aliquot and store at -20°C (6 months). Avoid repeated freeze/thaw cycles.
Use
Applications
IF, IHC, ELISA, SP(RIA).
Working dilutions
ELISA ≥ 1/2000 (OD = 0.5)
IF ≥ 1/40
IHC ≥ 1/500
Optimal dilutions should be determined by the end user.
Lots
- #262
-
IgG :
not tested
pH :
not tested
ELISA
Optimal working dilution not tested with our current protocol.
IF
With fluorescein anti-rabbit IgG conjugate, optimal working dilution at 1/80 on frozen chicken skin.
IHC
Immunoperoxidase technique with the Envision / Dako kit, 0.5% hyaluronidase pretreatment, optimal working dilution at 1/1000 on fixed paraffin-embedded human skin.
-
- #490d
-
IgG :
2.06 mg/mL
pH :
7.72
ELISA
Optimal working dilution at 1/8000.
IF
Optimal working dilution not tested with our current protocol.
IHC
Immunoperoxidase technique with the Envision / Dako kit, 0.5% hyaluronidase pretreatment, optimal working dilution at 1/500 on fixed paraffin-embedded chicken intestine.
-
References
- «Bone organotypic culture method: a model for cytocompatibility testing of biomaterials. Cells and Materials 1994, 4, 113-123.»
Anselme K., Lanel B., Gentil C., Hardouin P., Marie P.J., Sigot-Luizard M.F.