Anticorps > 25041 - Purified freeze-dried antibody to rat elastin
25041 - Purified freeze-dried antibody to rat elastin
Elastin is a key Extracellular Matrix protein that is at the origin of the elasticity and resilience of many vertebrate tissues (large arteries, lung, ligament, tendon, skin and elastic cartilage). Elastin is formed through the lysine mediated crosslinking of soluble precursor tropoelastin.
Immunogen : Elastin extracted from rat aorta.
Host : Rabbit.
Polyclonal antibodies purified by chromatography.
For research only.
Purified, freeze-dried antibody in 0.1 mL vials. Reconstitute with 0.1 mL diH2O and store aliquots at -20°C.
Liquid bulk of 5 mL. Aliquoted and stored at -20°C.
Unreconstituted
24 months at -20°C.
Reconstituted
Before use aliquot and store at -20°C (6 months). Avoid repeated freeze/thaw cycles.
Applications
IF, IHC, ELISA, IB/WB, SP(RIA).
Working dilutions
IF ≥ 1/40
IHC ≥ 1/500
ELISA ≥ 1/2000 (OD = 0.5)
Optimal dilutions should be determined by the end user.
Cross-reactivity with mouse elastin.
- #333j
-
IgG
2.8 mg/mL
pH
7.3
ELISA
Optimal working dilution at 1/2000.
IF
Optimal working dilution not tested.
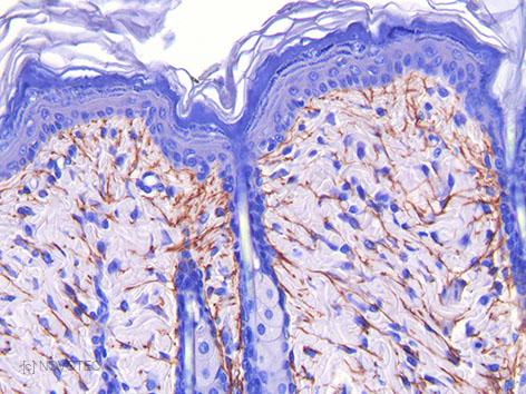
IHC
Immunoperoxidase technique with the Envision / Dako kit, 0.5% hyaluronidase pretreatment, optimal working dilution at 1/1000 on fixed paraffin-embedded rat skin.
-
- #478h
-
IgG
2.49
pH
7.38
ELISA
Optimal working dilution at 1/8000.
IF
Optimal working dilution not tested with our current protocol.
IHC
Immunoperoxidase technique with the Envision / Dako kit, 0.5% hyaluronidase pretreatment, optimal working dilution at 1/2000 on fixed paraffin-embedded rat skin.
-
Presentation
Elastin is a key Extracellular Matrix protein that is at the origin of the elasticity and resilience of many vertebrate tissues (large arteries, lung, ligament, tendon, skin and elastic cartilage). Elastin is formed through the lysine mediated crosslinking of soluble precursor tropoelastin.
Description
Immunogen : Elastin extracted from rat aorta.
Host : Rabbit.
Polyclonal antibodies purified by chromatography.
For research only.
Format
Purified, freeze-dried antibody in 0.1 mL vials. Reconstitute with 0.1 mL diH2O and store aliquots at -20°C.
Liquid bulk of 5 mL. Aliquoted and stored at -20°C.
Stability
Unreconstituted
24 months at -20°C.
Reconstituted
Before use aliquot and store at -20°C (6 months). Avoid repeated freeze/thaw cycles.
Use
Applications
IF, IHC, ELISA, IB/WB, SP(RIA).
Working dilutions
IF ≥ 1/40
IHC ≥ 1/500
ELISA ≥ 1/2000 (OD = 0.5)
Optimal dilutions should be determined by the end user.
Specificity
Cross-reactivity with mouse elastin.
Lots
- #333j
-
IgG :
2.8 mg/mL
pH :
7.3
ELISA
Optimal working dilution at 1/2000.
IF
Optimal working dilution not tested.
IHC
Immunoperoxidase technique with the Envision / Dako kit, 0.5% hyaluronidase pretreatment, optimal working dilution at 1/1000 on fixed paraffin-embedded rat skin.
-
- #478h
-
IgG :
2.49
pH :
7.38
ELISA
Optimal working dilution at 1/8000.
IF
Optimal working dilution not tested with our current protocol.
IHC
Immunoperoxidase technique with the Envision / Dako kit, 0.5% hyaluronidase pretreatment, optimal working dilution at 1/2000 on fixed paraffin-embedded rat skin.
-
References
- «Extracellular Matrix Deposition, lysyl oxidase expression, and myofibroblastic differentiation during the initial stages of cholestatic fibrosis in the rat. Lab. Invest. 1997, 76, 765-778.»
Desmoulière A., Darby I., Monte Alto Costa A., Raccurt M., Tuchweber B., Sommer P., Gabbiani G. - «Elastogenesis in rat arterial grafts : elastin deposits on microfibrillar and non-microfibrillar structures. Histochem. J. 1988, 20, 715-721.»
Lethias C., Chignier E., Garrone R., Hartmann D.J., Eloy R. - «Immunolabelling of freeze-fractured tissue : thin sections of rat aorta after labelling of elestic laminae. Eur. J. Cell. Biol. 1987, 44, 90-92.»
Ruggiero F., Lethias C., Garrone R. - «Ultrastructural immunolocalization of elastic fibers in rat blood vessels using the protein A-gold technique. J. Histochem. Cytochem. 1987, 35, 15-21.»
Lethias C., Hartmann D.J., Masmejean M., Ravazzola M., Sabbagh I., Ville G., Herbage D., Eloy R.
