 
            Anticorps > 60315 - Purified freeze-dried antibody to human type III collagen
60315 - Purified freeze-dried antibody to human type III collagen
Type III collagen is a fibrillar collagen that is found in extensible connective tissues such as skin, lung, uterus, intestine and the vascular system, frequently in association with type I collagen. Mutations in this gene are associated with Ehlers-Danlos syndrome types IV, and with aortic and arterial aneurysms. [according to R. Dalgleish]
Immunogen : Purified type III collagen extracted from human placenta.
Source material : Mouse (Nude strain) ascites.
Isotype : IgG1k
Monoclonal antibody purified by chromatography.
For research only.
Purified, freeze-dried antibody in 0.1mL vials. Reconstitute with 0.1mL distilled water and store at -20°C.
Unreconstituted
24 months at -20°C.
Reconstituted
Before use aliquot and store at -20°C (6 months). Avoid repeated freeze/thaw cycles.
Applications
IF, IHC, ELISA, IB/WB, SP(RIA).
Working dilutions
IF ≥ 1/40
IHC ≥ 1/500
ELISA ≥ 1/2000 (OD = 0.5)
Optimal dilutions should be determined by the end user.
8D1-8C7
- #454g
						- 
							 IgG 0.78 
 pH 7.66 ELISAOptimal working dilution at 1/2000. 
 IFOptimal working dilution not tested. 
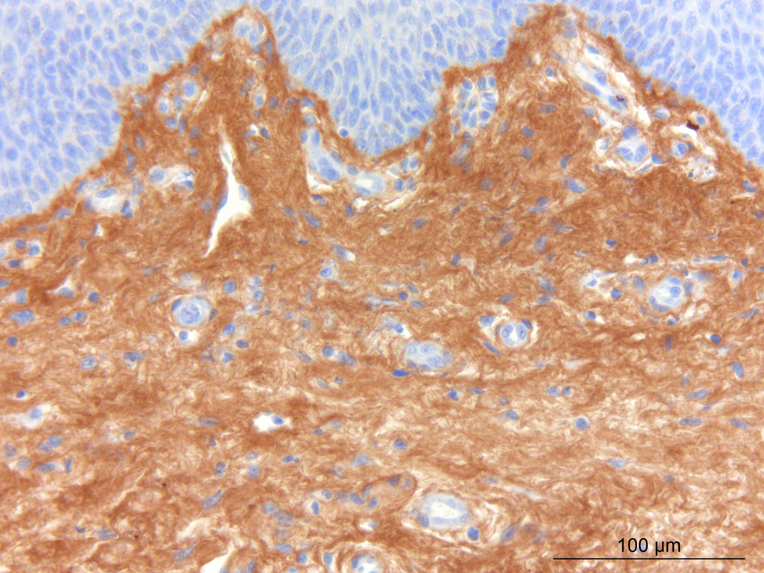
 IHCImmunoperoxidase technique with the Envision / Dako kit, 0.5%hyaluronidase pretreatment, optimal working dilution at 1/4000 on fixed paraffin-embedded human skin. 
 
- 
							 
Presentation
Type III collagen is a fibrillar collagen that is found in extensible connective tissues such as skin, lung, uterus, intestine and the vascular system, frequently in association with type I collagen. Mutations in this gene are associated with Ehlers-Danlos syndrome types IV, and with aortic and arterial aneurysms. [according to R. Dalgleish]
Description
Immunogen : Purified type III collagen extracted from human placenta.
Source material : Mouse (Nude strain) ascites.
Isotype : IgG1k
Monoclonal antibody purified by chromatography.
For research only.
Format
Purified, freeze-dried antibody in 0.1mL vials. Reconstitute with 0.1mL distilled water and store at -20°C.
Stability
Unreconstituted
24 months at -20°C.
Reconstituted
Before use aliquot and store at -20°C (6 months). Avoid repeated freeze/thaw cycles.
Use
Applications
IF, IHC, ELISA, IB/WB, SP(RIA).
Working dilutions
IF ≥ 1/40
IHC ≥ 1/500
ELISA ≥ 1/2000 (OD = 0.5)
Optimal dilutions should be determined by the end user.
Clone
8D1-8C7
Lots
- #454g
						- 
							 IgG : 0.78 
 pH : 7.66 ELISAOptimal working dilution at 1/2000. 
 IFOptimal working dilution not tested. 
 IHCImmunoperoxidase technique with the Envision / Dako kit, 0.5%hyaluronidase pretreatment, optimal working dilution at 1/4000 on fixed paraffin-embedded human skin. 
 
- 
							 
References
- «In situ Hybridization to evaluate the wound healing process of a bilayered living cell-based construct (Apligraf®) in a nude mice model - 2010 june, TERMIS-EU, Galway, Ireland.»
 Rousseau C. and Pagnon-Minot A., Guerret S., Hartmann D.J, Ronfard V.
- «Short term integration on human bilayered living skin substitute (Apligraf®) grafted onto nude mice - 19th Annual Meeting of the Wound Healing Society with SAWC (Symposium on Advanced Wound Care) 2009 April 26-29, Gaylord Texan Resort and Convention Center, Dallas, Texas.»
 Rousseau C., Thillou F., Pagnon-Minot A., Guerret S., Hartmann D.J, Ronfard V.
- «Long term remodeling of a bilayered living human skin equivalent (Apligraf®) grafted onto nude mice: immunolocalization of human cells and characterization of extracellular matrix. Wound Rep. Reg. 2003, 11, 35-45.»
 Guerret S., Govignon E., Hartmann D.J., Ronfard V.
- «Immunofluorescent localization of collagen types I, III and IV, fibronectin, laminin, and basement membrane proteoglycan in developing mouse skin. Roux's Arch. Dev. Biol. 1987, 196, 295-302.»
 Mauger A., Emonard H., Hartmann D.J., Foidart J.M., Sengel P.
- «The interstitial matrix of human carcinomas and sarcomas transplanted to the nude mouse : immunolocalization of some human and murine components. Cell. Mol. Biol. 1987, 33, 647-654.»
 Duprez A., Guerret S., Vignaud J.M., Plenat F., Hartmann D.J., Grimaud J.A.
- «Histo-immunolocalisation des collagènes de type I et III humains et murins de cancers humains greffés chez la souris athymique congénitale. C.R. Acad. Sc. Paris 1987, 304, 155-160.»
 Duprez A., Guerret-Stocker S., Plenat F., Vignaud J.M., Hartmann D., Grimaud J.A.

 
		
		
	 
                