Anticorps > 20311 - Purified freeze-dried antibody to human type III collagen
20311 - Purified freeze-dried antibody to human type III collagen
Type III collagen is a fibrillar collagen that is found in extensible connective tissues such as skin, lung, uterus, intestine and the vascular system, frequently in association with type I collagen. Mutations in this gene are associated with Ehlers-Danlos syndrome types IV, and with aortic and arterial aneurysms. [according to R. Dalgleish]
Immunogen : Type III collagen extracted from human placenta.
Host : Rabbit.
Polyclonal antibody purified by chromatography.
For research only.
Purified, freeze-dried antibody in 0.1 mL vials. Reconstitute with 0.1 mL distilled water and store aliquots at -20°C.
Unreconstituted
24 months at -20°C.
Reconstituted
Before use aliquot and store at -20°C (6 months). Avoid repeated freeze/thaw cycles.
Applications
IF, IHC, ELISA, IB/WB, SP(RIA).
Working dilutions
ELISA ≥ 1/2000 (OD = 0.5)
IF ≥ 1/40
IHC ≥ 1/500
Optimal dilutions should be determined by the end user.
- #494e
-
IgG
8.38
pH
8.18
ELISA
Optimal working dilution at 1/3000.
IF
Optimal working dilution not tested.
IHC
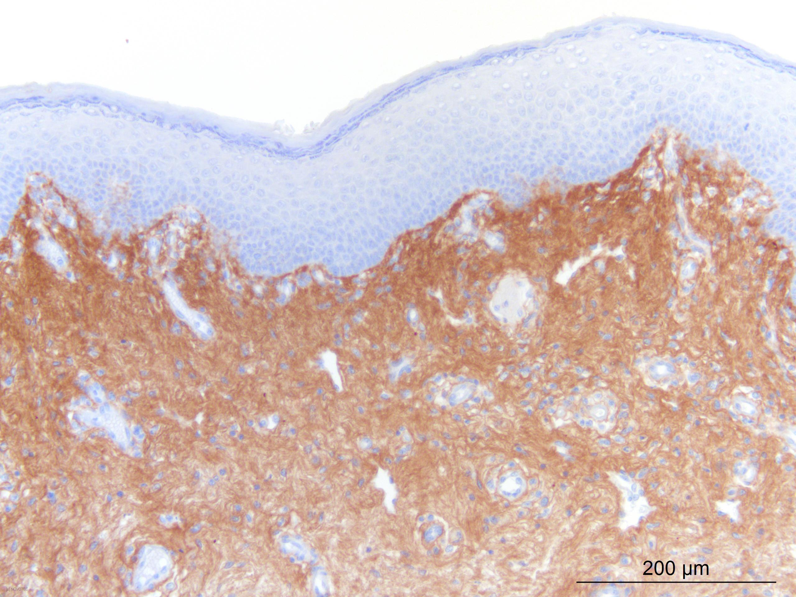
Immunoperoxidase technique with the Envision / Dako kit, hyaluronidase 0.5% pretreatment, optimal working dilution at 1/500 on fixed paraffin-embedded human skin.
-
- #513v
-
IgG
1.44 mg/mL
pH
7.31
ELISA
Optimal working dilution at 1/2000.
IF
Optimal working dilution not tested with our current protocol.
IHC
Immunoperoxidase technique with the Envision / Dako kit, 0.5% hyaluronidase pretreatment, optimal working dilution at 1/500 on fixed paraffin-embedded human skin.
-
Presentation
Type III collagen is a fibrillar collagen that is found in extensible connective tissues such as skin, lung, uterus, intestine and the vascular system, frequently in association with type I collagen. Mutations in this gene are associated with Ehlers-Danlos syndrome types IV, and with aortic and arterial aneurysms. [according to R. Dalgleish]
Description
Immunogen : Type III collagen extracted from human placenta.
Host : Rabbit.
Polyclonal antibody purified by chromatography.
For research only.
Format
Purified, freeze-dried antibody in 0.1 mL vials. Reconstitute with 0.1 mL distilled water and store aliquots at -20°C.
Stability
Unreconstituted
24 months at -20°C.
Reconstituted
Before use aliquot and store at -20°C (6 months). Avoid repeated freeze/thaw cycles.
Use
Applications
IF, IHC, ELISA, IB/WB, SP(RIA).
Working dilutions
ELISA ≥ 1/2000 (OD = 0.5)
IF ≥ 1/40
IHC ≥ 1/500
Optimal dilutions should be determined by the end user.
Lots
- #494e
-
IgG :
8.38
pH :
8.18
ELISA
Optimal working dilution at 1/3000.
IF
Optimal working dilution not tested.
IHC
Immunoperoxidase technique with the Envision / Dako kit, hyaluronidase 0.5% pretreatment, optimal working dilution at 1/500 on fixed paraffin-embedded human skin.
-
- #513v
-
IgG :
1.44 mg/mL
pH :
7.31
ELISA
Optimal working dilution at 1/2000.
IF
Optimal working dilution not tested with our current protocol.
IHC
Immunoperoxidase technique with the Envision / Dako kit, 0.5% hyaluronidase pretreatment, optimal working dilution at 1/500 on fixed paraffin-embedded human skin.
-
References
- «Complete unilateral ureteral obstruction in the fetal lamb. Part II: Long-term outcomes of renal tissue development. J Urol. 2006, 4, 1548-1558.»
Mure P.Y., Gelas T, Dijoud F, Guerret S, Benchaib M, Hartmann DJ, Mouriquand P. - «Optimization and characterization of an Engineered human skin equivalent. Tissue Engineering 2005, 11, 723-733.»
Black A.F., Bouez C., Perrier E., Schlotmann K., Chapuis F., Damour O. - «Serum laminin and type IV collagen are accurate markers of histologically severe alcoholic hepatitis in patients with cirrhosis. J. Hepatol. 2000, 32, 412-418.»
Castera L., Hartmann D.J., Chapel F., Guettier C., Mal F., Lons T., Richardet J.P., Grimbert S., Morassi O., Beaugrand M., Trinchet J.C. - «Monitoring of extracellular matrix metabolism and cross-linking in tissue, serum and urine of patients with chromoblastomycosis, a chronic skin fibrosis. Eur. J. Clin. Invest. 1998, 28, 748-754.»
Ricard-Blum S., Hartmann D.J., Esterre Ph. - «Lysyl oxidase gene expression in the stromal reaction to in situ and invasive ductal breast carcinoma. Am. J. Pathol. 1997, 150, 497-507.»
Peyrol S., Raccurt M., Gerard F., Gleyzal C., Grimaud J.A., Sommer P. - «Fibrosing vasculitis in Wegener's granulomatosis : ultrastructural and immunohistochemical analysis of the vascular lesions. Virchows Arch. 1995, 427, 385-393.»
Gindre D., Peyrol S., Raccurt M., Sommer P., Loire. R., Grimaud J.A., Cordier J.F. - «Distribution of the extracellular matrix components in human glomerular lesions. J. Pathol. 1994, 172, 199-207.»
Büyükbabani N., Droz D. - «Bone organotypic culture method: a model for cytocompatibility testing of biomaterials. Cells and Materials 1994, 4, 113-123.»
Anselme K., Lanel B., Gentil C., Hardouin P., Marie P.J., Sigot-Luizard M.F. - «Four markers of collagen metabolism as possible indicators of disease in the adult respiratory distress syndrome. Am. Rev. Respir. DIs. 1993, 147, 1091-1099.»
Farjanel J., Hartmann D.J., Guidet B., Luquel L., Offenstadt G. - «Thrombospondin and other possible related matrix proteins in malignant and benign breast disease. Am. J. Pathol. 1992, 140, 1473-1482.»
Wong S.Y., Purdie A.T., Han P. - «Immunocytochemical localization of collagen types I, III, IV, and fibronectin in the human dermis. Cell Tissue Res. 1992, 268, 505-511.»
Vitellaro-Zuccarello L., Garbelli R., Dal Pozzo Rossi V. - «Ultrastructural localization of the major components of the extracellular matrix in normal rat nerve. J. Histochem. Cytochem. 1992, 40, 859-868.»
Lorimier P., Mezin P., Labat Moleur F., Pinel N., Peyrol S., Stoebner P. - «Changes in the extracellular matrix of the normal human breast during the menstrual cycle. Cell Tissue Res. 1992, 268, 167-177.»
Ferguson J.E., Schor A.M., Howell A., Ferguson M.W.J. - «Cell-matrix patterns in the cutaneous lesion of chromomycosis. Path. Res. Pract. 1992, 188, 894-900.»
Esterre P., Peyrol S., Guerret S., Sainte-Marie D., Pradinaud R., Grimaud J.A. - «Odontoblast-like cytodiffentiation of human dental pulp cells in vitro in the presence of a calcium hydroxide-containing cement. Arch. oral. Biol. 1991, 36, 117-128.»
Seux D., Couble M.L., Hartmann D.J., Gauthier J.P., Magloire H. - «Modulation of human dermal fibroblast extracellular matrix metabolism by the lymphokine leukoregulin. J. Cell Biol. 1991, 113, 1455-1462.»
Mauviel A., Redini F, Hartmann D.J., Pujol J.P., Evans C.E. - «Comparative effects of interleukin-1 and tumor necrosis factor on collagen production and corresponding procollagen mRNA levels in human dermal fibroblasts. J. Invest. Dermatol. 1991, 96, 243-249.»
Mauviel A., Heino J., Kähäri V.M., Hartmann D.J., Loyau G., Pujol J.P., Vuorio E. - «Connective tissue changes in rheumatic heart disease. J. Submicrosc. Cytol. Pathol. 1991, 23, 213-220.»
Dos Santos W.L., Verney R.N., De Montclos H., Veysseyre C, Carraz M., Grimaud J.A. - «Comparative analysis of collagens solubilized from human foetal, and normal and osteoarthritic adult articular cartilage, with emphasis on type VI collagen. Biochim. Biophys. Acta 1990, 1038, 222-230.»
Ronzière M.C., Ricard-Blum S., Tiollier J., Hartmann D.J., Garrone R., Herbage D. - «Intra-alveolar fibrosis of idiopathic bronchiolitis obliterans-organizing pneumonia: Cell-matrix patterns. Am. J. Pathol. 1990, 137, 155-170.»
Peyrol S., Cordier J.F., Grimaud J.A. - «Dermal collagen fibrils are hybrids of Type I and Type III collagen molecules. J. Ultrastruct. Res. 1990, 105, 162-169.»
Fleischmajer R., MacDonald E.D., PerlImh J.S., Burgeson R.E., FImher L.W. - «Human recombinant gamma-interferon stimulates proliferation and inhibits collagen and fibronectin production by human dental pulp fibroblasts. Cell. M. Biol. 1989, 35, 97-110.»
Melin M., Hartmann D.J., Magloire H., Falcoff E., Auriault C., Grimaud J.A. - «Effet des insaponifiables d'avocat/soja (PIAS) sur la production de collagène par des cultures de synoviocytes, chondrocytes articulaires et fibroblastes dermiques. Revue du Rhumatisme 1989, 56, 207-211.»
Mauviel A., Daireaux M., Hartmann D.J., Galera P., Loyau G., Pujol J.P. - «Effect of naproxen on the production of collagen by interleukin-1-stimulated skin fibroblasts, synovial-cells, and articular chondrocytes. Curr. Ther. Res. 1989, 45, 525-539.»
Galera P., Hartmann D.J., Daireaux M., Mauviel A., Jube L., Loyau G., Pujol J.P. - «Immunohistochemical study of types I, III and IV collagen in diseased human gingiva of patients with rapidly progressive periodontitis : a light and electron microscopic study. Cell. Mol. Biol. 1989, 35, 457-467.»
Chavrier C., Couble M.L. - «Gene expression of fibroblast matrix proteins In altered by indomethacin. FEBS Lett. 1988, 231, 125-129.»
Mauviel A., Kähäri V.M., Heino J., Daireaux M., Hartmann D.J., Loyau G., Pujol J.P. - «Interleukin-1 modulates collagen gene expression in cultured synovial cells. Biochem. J. 1988, 252, 247-255.»
Mauviel A., Teyton L., Bhatnagar R., PenformIm H., Laurent M., Hartmann D.J., Bonaventure J., Loyau G., Saklatvala J., Pujol J.P. - «Localization and synthesis of type III collagen and fibronectin in human reparative dentine. Immunoperoxidase and immunogold staining. Histochemistry 1988, 88, 141-149.»
Magloire H., Joffre A., Hartmann D.J. - «Production de collagène de type I et III par des cellules de pulpes de dents humaines en culture : action de surnageant de macrophages stimulés par des lipopolysaccharides bactériens. Rev. Fr. Endodontie 1988, 7, 9-15.»
Bobillon G., Hartmann D.J., Joffre A., Magloire H. - «Light chain deposition disease with liver dysfunction. Hum. Pathol. 1988, 19, 1008-1014.»
Bedossa P., Favre M., Paraf F., Martin E., Lemaigre G. - «Morphology of chronic collagen resorption : a study on the late stages of schistosomal granuloma involution. Am. J. Path. 1988, 132, 389-399.»
Andrade Z.A., Grimaud J.A. - «Distribution of the major connective matrix components of the stromal reaction in breast carcinoma. Cell. Mol. Biol. 1987, 33, 453-467.»
Mahfouz S.M., Chevallier M., Grimaud J.A. - «Evaluation of the biocompatibility of a Ni-Cr-Mo dental alloy with human gingival explant culture in vitro : morphological study, immunodetection of fibronectin, and collagen production. Biomaterials 1987, 8, 385-392.»
Exbrayat P., Couble M.L., Magloire H., Hartmann D.J. - «The interstitial matrix of human carcinomas and sarcomas transplanted to the nude mouse : immunolocalization of some human and murine components. Cell. Mol. Biol. 1987, 33, 647-654.»
Duprez A., Guerret S., Vignaud J.M., Plenat F., Hartmann D.J., Grimaud J.A. - «La maladie périodontale de l'adulte. Etude immunohistochimique des cellules inflammatoires et du collagène. Rev. Stomatol. Chir. maxillofac. 1987, 88, 372-376.»
Chomette G., Auriol M., Armbruster D., Szpirglas H., Vaillant J.M. - «Immunohistochemical study of types I, III and IV collagen in fibrosis of diseased gingiva during chronic periodontitis : a light and electron microscopic study. J. Periodont. Res. 1987, 22, 29-36.»
Chavrier C., Couble M.L., Hartmann D.J., Grimaud J.A., Magloire H. - «Effects of fixation and processing on the immunohistochemical visualisation of type-I, -III and -IV collagen in paraffin-embedded liver tissue. Histochemistry 1987, 88, 85-89.»
Bedossa P., Bacci J., Lemaigre G., Martin E. - «Myofibroblastic stromal reaction in carcinoma of the breast : variations of collagenous matrix and structural glycoproteins. Virchows Arch. 1985, 408, 49-59.»
Lagacé R., Grimaud J.A., Schürch W., Seemayer T.A. - «A procedure for light and electron microscopic intracellular immunolocalization of collagen and fibronectin in rat liver. J. Histochem. Cytochem. 1985, 33, 407-414.»
Clement B., Rissel M., Peyrol S., Mazurier Y., Grimaud J.A., Guillouzo A. - «Extracellular matrix of the human thymus : immunoflorescence studies on frozen sections and cultured epithelial cells. J. Histochem. Cytochem. 1985, 33, 655-664.»
Berrih S., Savino W., Cohen S. - «Collagen heterogeneity of thickened basement membranes of human diabetic dermis : tissular immunolabelling of collagen types I, III and IV by light and electron microscopy. Cell. Mol. Biol. 1984, 30, 43-57.»
Peyrol S., Hugues B., Grimaud J.A., Mornex R. - «Cytodifferentiation of human dental pulp cells in explant cultures. In : tooth morphogenesis and differentiation. Belcourt A.B., Ruch J.V. Eds. Les Editions INSERM, Paris 1984, 125, 119-126.»
Magloire H., Hartmann D.J., Couble M.L., Joffre A., Grimaud J.A., Herbage D., Ville G. - «Connective tissue organization of healthy human gingiva. Ultrastructural localization of collagen types I-III-IV. J. Periodont. Res. 1984, 19, 221-229.»
Chavrier C., Couble M.L., Magloire H., Grimaud J.A. - «Connective matrix organisation in human pulmonary fibrosis. Virchows Arch. [Cell. Pathol.] 1983, 44, 223-240.»
Takiya C., Peyrol S., Cordier J.F., Grimaud J.A. - «Distribution of type III collagen in the pulp parenchyma of the human developing tooth. Light and electron microscope immunotyping. Histochemistry 1982, 74, 319-328.»
Magloire H., Joffre A., Grimaud J.A., Herbage D., Couble M.L., Chavrier C. - «Collagen immunotyping in human liver : Light and electron microscope study. J. Histochem. Cytochem. 1980, 28, 1145-1156.»
Grimaud J.A., Druguet M., Peyrol S., Chevalier O., Herbage D., El Badrawy N.
