Anticorps > 25051 - Purified freeze-dried antibody to mouse elastin
25051 - Purified freeze-dried antibody to mouse elastin
Elastin is a key Extracellular Matrix protein that is at the origin of the elasticity and resilience of many vertebrate tissues (large arteries, lung, ligament, tendon, skin and elastic cartilage). Elastin is formed through the lysine mediated crosslinking of soluble precursor tropoelastin.
Immunogen : Native elastin.
Host : Rabbit.
Polyclonal antibody purified by chromatography.
For research only.
Purified, freeze-dried antibody in 0.1 mL vials. Reconstitute with 0.1 mL distilled water and store aliquots at -20°C.
Unreconstituted
24 months at -20°C.
Reconstituted
Before use aliquot and store at -20°C (6 months). Avoid repeated freeze/thaw cycles.
Applications
IF, IHC, ELISA, SP(RIA).
Working dilutions
ELISA ≥ 1/2000 (OD = 0.5)
IF ≥ 1/40
IHC ≥ 1/500
Optimal dilutions should be determined by the end user.
- #353k
-
IgG
3.0 mg/mL
pH
7.4
ELISA
Optimal working dilution at 1/2000.
IF
Not tested with our current protocol.
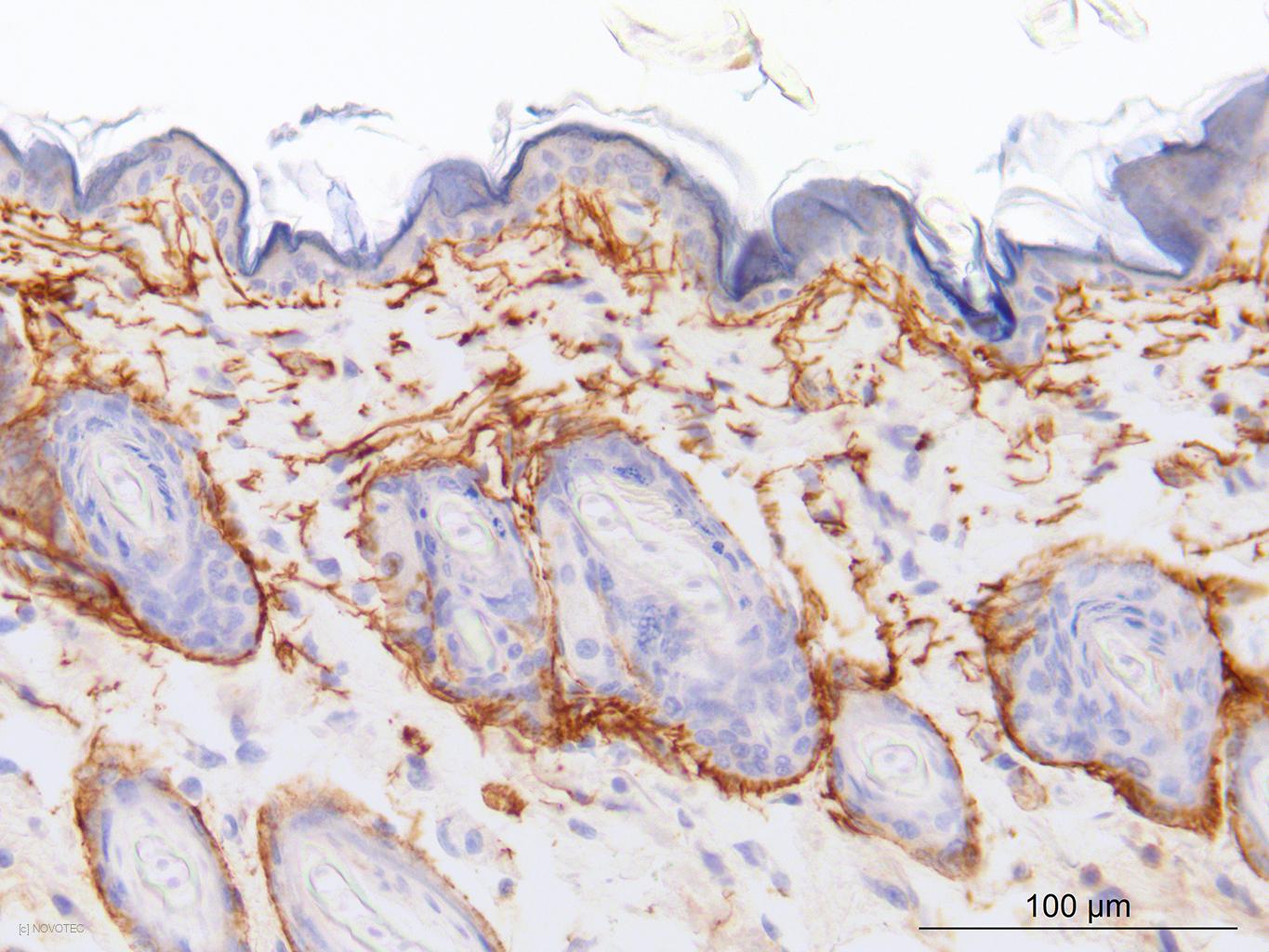
IHC
Immunoperoxidase technique with the Envision / Dako kit, 0.5% hyaluronidase pretreatment, optimal working dilution at 1/2000 on fixed paraffin-embedded mouse skin.
-
- #477h
-
IgG
2.91
pH
7.39
ELISA
Optimal working dilution at 1/10000.
IF
Optimal working dilution not tested with our current protocol.
IHC
Immunoperoxidase technique with the Envision / Dako kit, 0.5% hyaluronidase pretreatment, optimal working dilution at 1/2000 on fixed paraffin-embedded mouse skin.
-
Presentation
Elastin is a key Extracellular Matrix protein that is at the origin of the elasticity and resilience of many vertebrate tissues (large arteries, lung, ligament, tendon, skin and elastic cartilage). Elastin is formed through the lysine mediated crosslinking of soluble precursor tropoelastin.
Description
Immunogen : Native elastin.
Host : Rabbit.
Polyclonal antibody purified by chromatography.
For research only.
Format
Purified, freeze-dried antibody in 0.1 mL vials. Reconstitute with 0.1 mL distilled water and store aliquots at -20°C.
Stability
Unreconstituted
24 months at -20°C.
Reconstituted
Before use aliquot and store at -20°C (6 months). Avoid repeated freeze/thaw cycles.
Use
Applications
IF, IHC, ELISA, SP(RIA).
Working dilutions
ELISA ≥ 1/2000 (OD = 0.5)
IF ≥ 1/40
IHC ≥ 1/500
Optimal dilutions should be determined by the end user.
Lots
- #353k
-
IgG :
3.0 mg/mL
pH :
7.4
ELISA
Optimal working dilution at 1/2000.
IF
Not tested with our current protocol.
IHC
Immunoperoxidase technique with the Envision / Dako kit, 0.5% hyaluronidase pretreatment, optimal working dilution at 1/2000 on fixed paraffin-embedded mouse skin.
-
- #477h
-
IgG :
2.91
pH :
7.39
ELISA
Optimal working dilution at 1/10000.
IF
Optimal working dilution not tested with our current protocol.
IHC
Immunoperoxidase technique with the Envision / Dako kit, 0.5% hyaluronidase pretreatment, optimal working dilution at 1/2000 on fixed paraffin-embedded mouse skin.
-
