retour aux résultats Commander cet anticorps Imprimer la fiche Printer


Anticorps > 20341 - Purified freeze-dried antibody to rat type III collagen

20341 - Purified freeze-dried antibody to rat type III collagen



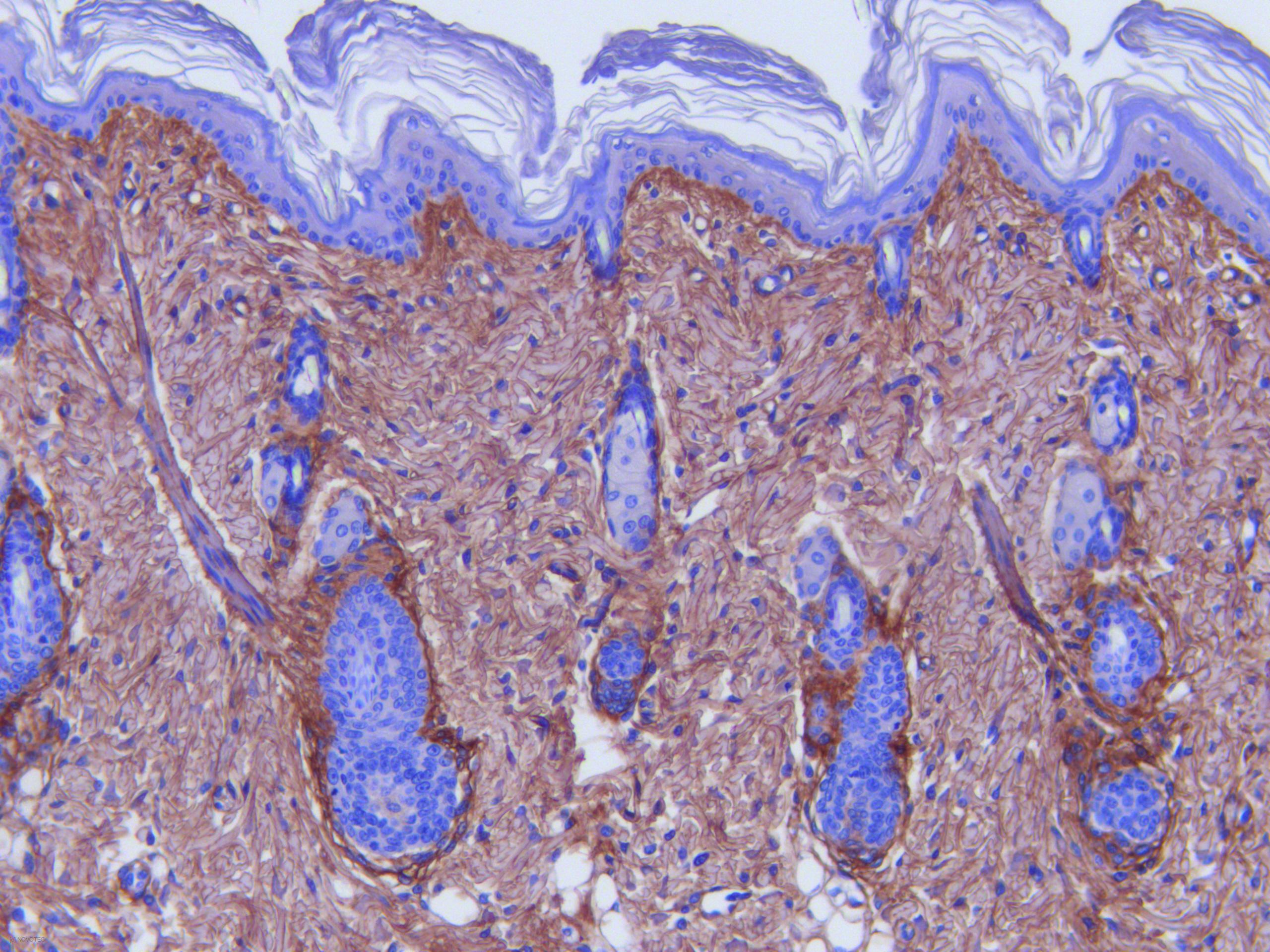
Rat skin paraffin section, IHC


species

Rat



immunogen

Type III collagen




Type III collagen is a fibrillar collagen that is found in extensible connective tissues such as skin, lung, uterus, intestine and the vascular system, frequently in association with type I collagen. Mutations in this gene are associated with Ehlers-Danlos syndrome types IV, and with aortic and arterial aneurysms. [according to R. Dalgleish]

Immunogen : Type III collagen extracted from rat skin.

Host : Rabbit.

 

Polyclonal antibodies purified by chromatography.

 

For research only.

Purified, freeze-dried antibody in 0.1 mL vials. Reconstitute with 0.1 mL distilled water and store aliquots at -20°C.

Unreconstituted

24 months at -20°C.

 

Reconstituted

Before use aliquot and store at -20°C (6 months). Avoid repeated freeze/thaw cycles.

Applications

IF, IHC, ELISA, SP(RIA)

 

Working dilutions

ELISA ≥ 1/2000 (OD = 0.5)

IF ≥ 1/40

IHC ≥ 1/500

Optimal dilutions should be determined by the end user.


Share your experience with this antibody in your specific application

Cross-reactivity with mouse type III collagen.

  • #357c
  • #357g
  • #515d
  • #557c

Presentation

Type III collagen is a fibrillar collagen that is found in extensible connective tissues such as skin, lung, uterus, intestine and the vascular system, frequently in association with type I collagen. Mutations in this gene are associated with Ehlers-Danlos syndrome types IV, and with aortic and arterial aneurysms. [according to R. Dalgleish]



Description

Immunogen : Type III collagen extracted from rat skin.

Host : Rabbit.

 

Polyclonal antibodies purified by chromatography.

 

For research only.



Format

Purified, freeze-dried antibody in 0.1 mL vials. Reconstitute with 0.1 mL distilled water and store aliquots at -20°C.


Stability

Unreconstituted

24 months at -20°C.

 

Reconstituted

Before use aliquot and store at -20°C (6 months). Avoid repeated freeze/thaw cycles.


Use

Applications

IF, IHC, ELISA, SP(RIA)

 

Working dilutions

ELISA ≥ 1/2000 (OD = 0.5)

IF ≥ 1/40

IHC ≥ 1/500

Optimal dilutions should be determined by the end user.


Specificity

Cross-reactivity with mouse type III collagen.


Lots

  • #357c
    • IgG :

      2.6 mg/mL



      pH :

      7.4

      ELISA


      Optimal working dilution at 1/3000.


      IF


      IF not tested with our current protocol.


      IHC


      Immunoperoxidase technique with the Envision / Dako kit, 0.5% hyaluronidase pretreatment, optimal working dilution at 1/1000 on fixed paraffin-embedded mouse skin.

  • #357g
    • IgG :

      3.04



      pH :

      7.33

      ELISA


      Optimal working dilution at 1/4000.


      IF


      Optimal working dilution not tested with our current protocol.


      IHC


      Immunoperoxidase technique with the Envision / Dako kit, 0.5% hyaluronidase pretreatment, optimal working dilution at 1/1000 on fixed paraffin-embedded rat skin.

  • #515d
    • IgG :

      2.98 mg/mL



      pH :

      7.27

      ELISA


      Optimal working dilution at 1/4000.


      IF


      Optimal working dilution not tested.


      IHC


      Immunoperoxidase technique with the Envision / Dako kit, 0.5% hyaluronidase pretreatment, optimal working dilution at 1/500 on fixed paraffin-embedded rat skin.

  • #557c
    • IgG :

      2.79 mg/mL



      pH :

      7.43

      ELISA


      Optimal working dilution at 1/4000.


      IF


      Optimal working dilution not tested with our current protocol.


      IHC


      Immunoperoxidase technique with the Envision / Dako kit, 0.5% hyaluronidase pretreatment, optimal working dilution at 1/1000 on fixed paraffin-embedded rat skin.




References

  • «"De novo generation in an in vivo rat model and biomechanical characterization of autologous transplants for ligament and tendon reconstruction. Clinical Biomechanics. 2017 Dec 14;52:33-40. "»
    Soubeyranda M., Laemmel E., Maurel N., Diop A., Lazure T., Duranteau J., Vicaut E.
  • «Isolation and characterization of rat alveolar bone cells. Cell Mol. Biol. 1991, 37, 509-517.»
    Bouvier M., Couble M.L., Hartmann D.J., Magloire H.
  • «Subpopulations of rat lung fibroblasts with different amounts of type I and type III collagen mRNAs. J. Biol. Chem. 1990, 265, 6286-6290.»
    Breen E., Falco V.M., Absher M., Cutroneo K.R.
  • «Ultrastructural and immunocytochemical study of bone-derived cells cultured in three-dimensional matrices : influence of chondroitin-4 sulfate on mineralization. Differentiation 1990, 45, 128-137.»
    Bouvier M., Couble M.L., Hartmann D.J., Gauthier J.P., Magloire H.
  • «Immunohistochemical study of the biological fate of a subcutaneous bovine collagen implant in rat. Histochemistry 1989, 91, 177-184.»
    Vialle-Presles M.J., Hartmann D.J., Franc S., Herbage D.
  • «Differential immunohistochemical localization of cytokeratins and collagen types I and III in experimentally-induced cirrhosis. J. Pathol. 1989, 159, 151-158.»
    Al Adnani M.S.
  • «Collagen immunotyping in human liver : Light and electron microscope study. J. Histochem. Cytochem. 1980, 28, 1145-1156.»
    Grimaud J.A., Druguet M., Peyrol S., Chevalier O., Herbage D., El Badrawy N.