Anticorps > 24951 - Purified freeze-dried antibody to mouse fibronectin
24951 - Purified freeze-dried antibody to mouse fibronectin
Fibronectin is a glycoprotein present in a soluble dimeric form in plasma, and in a dimeric or multimeric form at the cell surface and in extracellular matrix. Fibronectin is involved in cell adhesion and migration processes including embryogenesis, wound healing, blood coagulation, host defense, and metastasis. [according to RefSeq]
Immunogen : Fibronectin extracted from mouse plasma.
Host : Rabbit.
Polyclonal antibodies purified by chromatography.
For research only.
Purified, freeze-dried antibody in 0.1 mL vials. Reconstitute with 0.1 mL diH2O and store aliquots at -20°C.
Liquid bulk of 5 mL. Aliquoted and stored at -20°C.
Unreconstituted
24 months at -20°C.
Reconstituted
Before use aliquot and store at -20°C (6 months). Avoid repeated freeze/thaw cycles.
Applications
IF, IHC, ELISA, SP(RIA).
Working dilutions
ELISA ≥ 1/2000 (OD = 0.5)
IF ≥ 1/40
IHC ≥ 1/500
Optimal dilutions should be determined by the end user.
- #526c
-
IgG
3.53 mg/mL
pH
7.34
ELISA
Optimal working dilution at 1/100000.
IF
Optimal working dilution not tested.
IHC
Immunoperoxidase technique with the Envision / Dako kit, 0.5%hyaluronidase pretreatment, optimal working dilution at 1/1000 on fixed paraffin-embedded mouse skin.
-
- #540c
-
IgG
3.49 mg/mL
pH
7.46
ELISA
Optimal working dilution at 1/100 000.
IF
Optimal working dilution not tested with our current protocol.
IHC
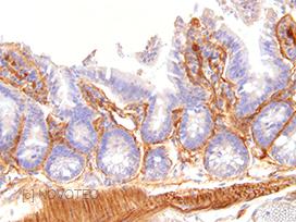
Immunoperoxidase technique with the Envision / Dako kit, 0.5% hyaluronidase pretreatment, optimal working dilution at 1/1000 on fixed paraffin-embedded mouse intestine.
-
- #403e
-
IgG
2.76 mg/mL
pH
7.56
ELISA
Optimal working dilution at 1/50000.
IF
Not tested.
IHC
Immunoperoxidase technique with the Envision / Dako kit, 0.5% hyaluronidase pretreatment, optimal working dilution at 1/1000 on fixed paraffin-embedded mouse intestine.
-
- #429k
-
IgG
4.03 mg/mL
pH
7.32
ELISA
Optimal working dilution at 1/60000.
IF
Optimal working dilution not tested with our current protocol.
IHC
Immunoperoxidase technique with the Envision / Dako kit, 0.5% hyaluronidase pretreatment, optimal working dilution at 1/1000 on fixed paraffin-embedded mouse intestine.
-
- #506c
-
IgG
3.8 mg/mL
pH
7.29
ELISA
Optimal working dilution at 1/100000.
IF
Optimal working dilution not tested with our current protocol.
IHC
Immunoperoxidase technique with the Envision / Dako kit, 0.5% hyaluronidase pretreatment, optimal working dilution at 1/1000 on fixed paraffin-embedded mouse intestine.
-
- #526d
-
IgG
3.53 mg/mL
pH
7.34
ELISA
Optimal working dilution at 1/20000.
IF
Optimal working dilution not tested with our current protocol.
IHC
Immunoperoxidase technique with the Envision / Dako kit, 0.5% hyaluronidase pretreatment, optimal working dilution at 1/1000 on fixed paraffin-embedded mouse intestine.
-
- #535c
-
IgG
3.85 mg/mL
pH
7.04
ELISA
Optimal working dilution at 1/110000.
IF
Optimal working dilution not tested.
IHC
Immunoperoxidase technique with the Envision / Dako kit, 0.5% hyaluronidase pretreatment, optimal working dilution at 1/1000 on fixed paraffin-embedded mouse intestine.
-
- #566f
-
IgG
5.02 mg/mL
pH
7.26
ELISA
Optimal working dilution at 1/100000.
IF
Optimal working dilution not tested.
IHC
Immunoperoxidase technique with the Envision / Dako kit, 0.5% hyaluronidase pretreatment, optimal working dilution at 1/1000 on fixed paraffin-embedded mouse intestine.
-
Presentation
Fibronectin is a glycoprotein present in a soluble dimeric form in plasma, and in a dimeric or multimeric form at the cell surface and in extracellular matrix. Fibronectin is involved in cell adhesion and migration processes including embryogenesis, wound healing, blood coagulation, host defense, and metastasis. [according to RefSeq]
Description
Immunogen : Fibronectin extracted from mouse plasma.
Host : Rabbit.
Polyclonal antibodies purified by chromatography.
For research only.
Format
Purified, freeze-dried antibody in 0.1 mL vials. Reconstitute with 0.1 mL diH2O and store aliquots at -20°C.
Liquid bulk of 5 mL. Aliquoted and stored at -20°C.
Stability
Unreconstituted
24 months at -20°C.
Reconstituted
Before use aliquot and store at -20°C (6 months). Avoid repeated freeze/thaw cycles.
Use
Applications
IF, IHC, ELISA, SP(RIA).
Working dilutions
ELISA ≥ 1/2000 (OD = 0.5)
IF ≥ 1/40
IHC ≥ 1/500
Optimal dilutions should be determined by the end user.
Lots
- #526c
-
IgG :
3.53 mg/mL
pH :
7.34
ELISA
Optimal working dilution at 1/100000.
IF
Optimal working dilution not tested.
IHC
Immunoperoxidase technique with the Envision / Dako kit, 0.5%hyaluronidase pretreatment, optimal working dilution at 1/1000 on fixed paraffin-embedded mouse skin.
-
- #540c
-
IgG :
3.49 mg/mL
pH :
7.46
ELISA
Optimal working dilution at 1/100 000.
IF
Optimal working dilution not tested with our current protocol.
IHC
Immunoperoxidase technique with the Envision / Dako kit, 0.5% hyaluronidase pretreatment, optimal working dilution at 1/1000 on fixed paraffin-embedded mouse intestine.
-
- #403e
-
IgG :
2.76 mg/mL
pH :
7.56
ELISA
Optimal working dilution at 1/50000.
IF
Not tested.
IHC
Immunoperoxidase technique with the Envision / Dako kit, 0.5% hyaluronidase pretreatment, optimal working dilution at 1/1000 on fixed paraffin-embedded mouse intestine.
-
- #429k
-
IgG :
4.03 mg/mL
pH :
7.32
ELISA
Optimal working dilution at 1/60000.
IF
Optimal working dilution not tested with our current protocol.
IHC
Immunoperoxidase technique with the Envision / Dako kit, 0.5% hyaluronidase pretreatment, optimal working dilution at 1/1000 on fixed paraffin-embedded mouse intestine.
-
- #506c
-
IgG :
3.8 mg/mL
pH :
7.29
ELISA
Optimal working dilution at 1/100000.
IF
Optimal working dilution not tested with our current protocol.
IHC
Immunoperoxidase technique with the Envision / Dako kit, 0.5% hyaluronidase pretreatment, optimal working dilution at 1/1000 on fixed paraffin-embedded mouse intestine.
-
- #526d
-
IgG :
3.53 mg/mL
pH :
7.34
ELISA
Optimal working dilution at 1/20000.
IF
Optimal working dilution not tested with our current protocol.
IHC
Immunoperoxidase technique with the Envision / Dako kit, 0.5% hyaluronidase pretreatment, optimal working dilution at 1/1000 on fixed paraffin-embedded mouse intestine.
-
- #535c
-
IgG :
3.85 mg/mL
pH :
7.04
ELISA
Optimal working dilution at 1/110000.
IF
Optimal working dilution not tested.
IHC
Immunoperoxidase technique with the Envision / Dako kit, 0.5% hyaluronidase pretreatment, optimal working dilution at 1/1000 on fixed paraffin-embedded mouse intestine.
-
- #566f
-
IgG :
5.02 mg/mL
pH :
7.26
ELISA
Optimal working dilution at 1/100000.
IF
Optimal working dilution not tested.
IHC
Immunoperoxidase technique with the Envision / Dako kit, 0.5% hyaluronidase pretreatment, optimal working dilution at 1/1000 on fixed paraffin-embedded mouse intestine.
-
