Anticorps > 25091 - Purified freeze-dried antibody to porcine elastin
25091 - Purified freeze-dried antibody to porcine elastin
Elastin is the key Extracellular Matrix protein that is at the origin of the elasticity and resilience of many vertebrate tissues (large arteries, lung, ligament, tendon, skin and elastic cartilage). Elastin is formed through the lysine mediated crosslinking of soluble precursor tropoelastin.
Immunogen : Elastin porcine.
Host : Rabbit.
Polyclonal antibodies purified by chromatography.
For research only.
Purified, freeze-dried antibody in 0.1 mL vials. Reconstitute with 0.1 mL diH2O and store aliquots at -20°C.
Unreconstituted
24 months at -20°C.
Reconstituted
Before use aliquot and store at -20°C (6 months). Avoid repeated freeze/thaw cycles.
Applications
IF, IHC, ELISA, IB/WB, SP(RIA).
Working dilutions
IF ≥ 1/40
IHC ≥ 1/500
ELISA ≥ 1/2000 (OD = 0.5)
Optimal dilutions should be determined by the end user.
Cross-reactivity with bovine elastin.
- #331i
-
IgG
3,5 mg/mL
pH
7,4
ELISA
ELISA not tested with our current protocol.
IF
With fluorescein anti-rabbit IgG conjugate, optimal working dilution at 1/80 on frozen porcine skin.
IHC
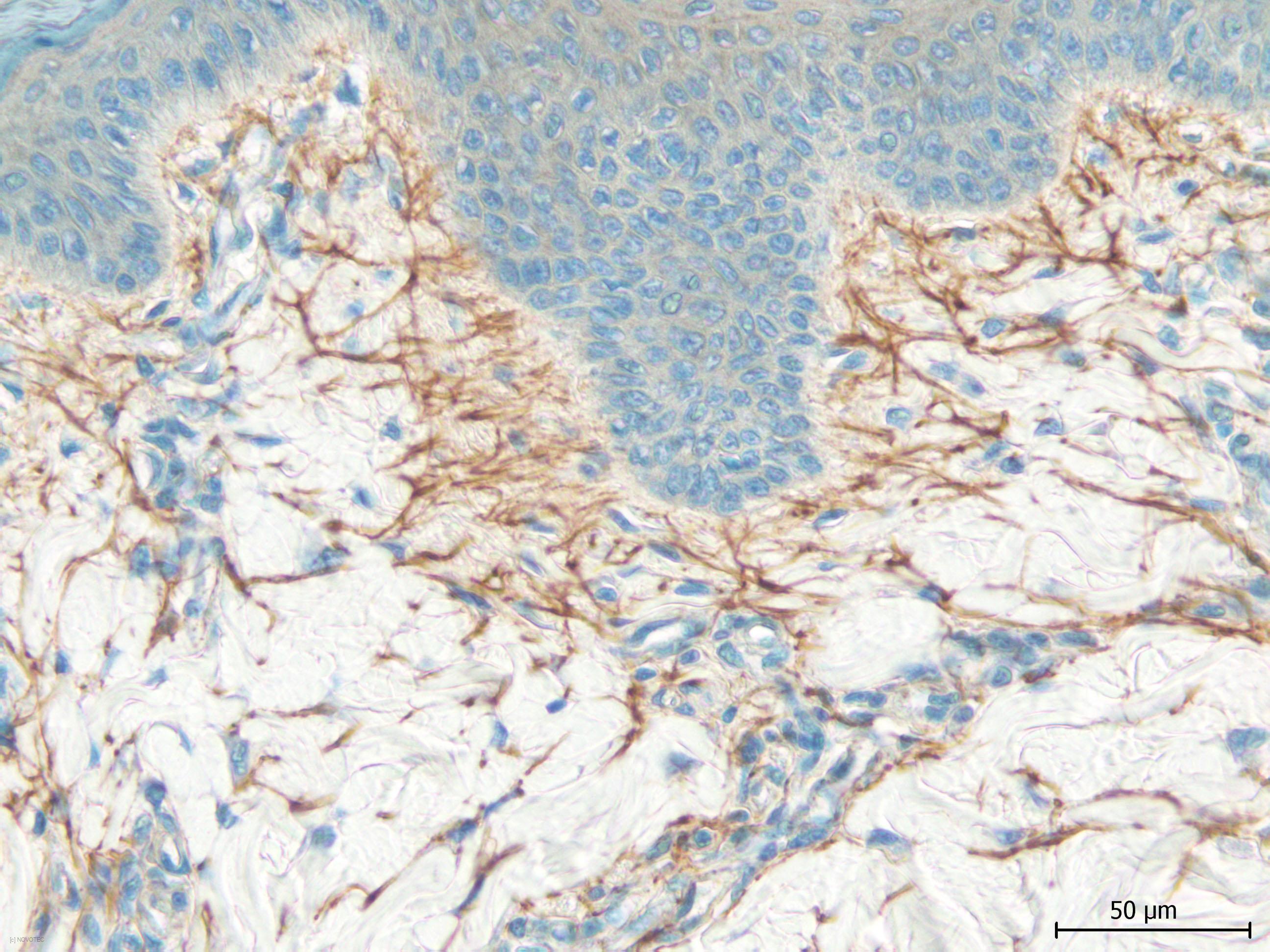
Immunoperoxidase technique with the Envision / Dako kit, 0.5% hyaluronidase pretreatment, optimal working dilution at 1/2000 on fixed paraffin-embedded porcine skin.
-
Presentation
Elastin is the key Extracellular Matrix protein that is at the origin of the elasticity and resilience of many vertebrate tissues (large arteries, lung, ligament, tendon, skin and elastic cartilage). Elastin is formed through the lysine mediated crosslinking of soluble precursor tropoelastin.
Description
Immunogen : Elastin porcine.
Host : Rabbit.
Polyclonal antibodies purified by chromatography.
For research only.
Format
Purified, freeze-dried antibody in 0.1 mL vials. Reconstitute with 0.1 mL diH2O and store aliquots at -20°C.
Stability
Unreconstituted
24 months at -20°C.
Reconstituted
Before use aliquot and store at -20°C (6 months). Avoid repeated freeze/thaw cycles.
Use
Applications
IF, IHC, ELISA, IB/WB, SP(RIA).
Working dilutions
IF ≥ 1/40
IHC ≥ 1/500
ELISA ≥ 1/2000 (OD = 0.5)
Optimal dilutions should be determined by the end user.
Specificity
Cross-reactivity with bovine elastin.
Lots
- #331i
-
IgG :
3,5
pH :
7,4
ELISA
ELISA not tested with our current protocol.
IF
With fluorescein anti-rabbit IgG conjugate, optimal working dilution at 1/80 on frozen porcine skin.
IHC
Immunoperoxidase technique with the Envision / Dako kit, 0.5% hyaluronidase pretreatment, optimal working dilution at 1/2000 on fixed paraffin-embedded porcine skin.
-
